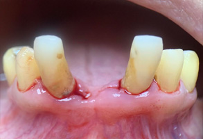
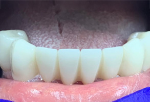
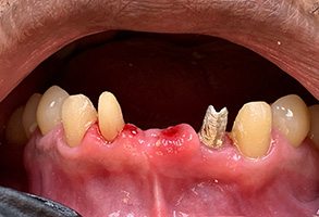
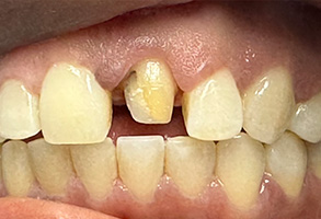
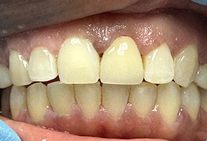
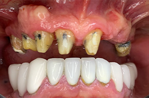
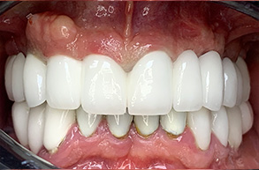
Welcome and thank you for choosing Smile Dental JC, your dentist in Jersey City, NJ. As a premier resource for a comprehensive range of family and cosmetic dental services, we pride ourselves on providing high quality care utilizing the latest and most effective treatment methods. We offer many new technologies including digital xrays, digital scanners, and implant dentistry!
At Smile Dental JC, you can rest assured that your smile is in the very best of hands. Whether you require a dental checkup, cosmetic smile makeover, dental restorations, root canal, dental implant or emergency care, we can help. We work with many dental insurances. Welcoming patients of all ages for care; Smile Dental JC is a convenient one-stop destination for all of your family's dental needs.
Formerly the office of the beloved Dr. John Vitale, we are dedicated to carrying on his legacy by treating every patient with the greatest level of care and comfort. Dr. Mahesh Limbani is a renowned dentist who has earned a reputation for excellence by establishing relationships built on trust with every patient and delivering outstanding outcomes of care. Feel free to browse our website, where you will find an abundance of information about our office and all of the services that we provide. For any additional details on how we can help you achieve and maintain excellent oral health, call our office today.
$99
New Patient Checkup, X-Rays, and Cleaning
For Patients Without Insurance
$59
Back to School Special For Kids
FREE
OrthoFx Clear Aligners Consultation
FREE
2nd Opinion consultation
























